Trang chủ Tin tức bệnh lý răng Răng cửa bị sâu cách điều trị nào tốt nhất?

Răng cửa bị sâu cách điều trị nào tốt nhất?

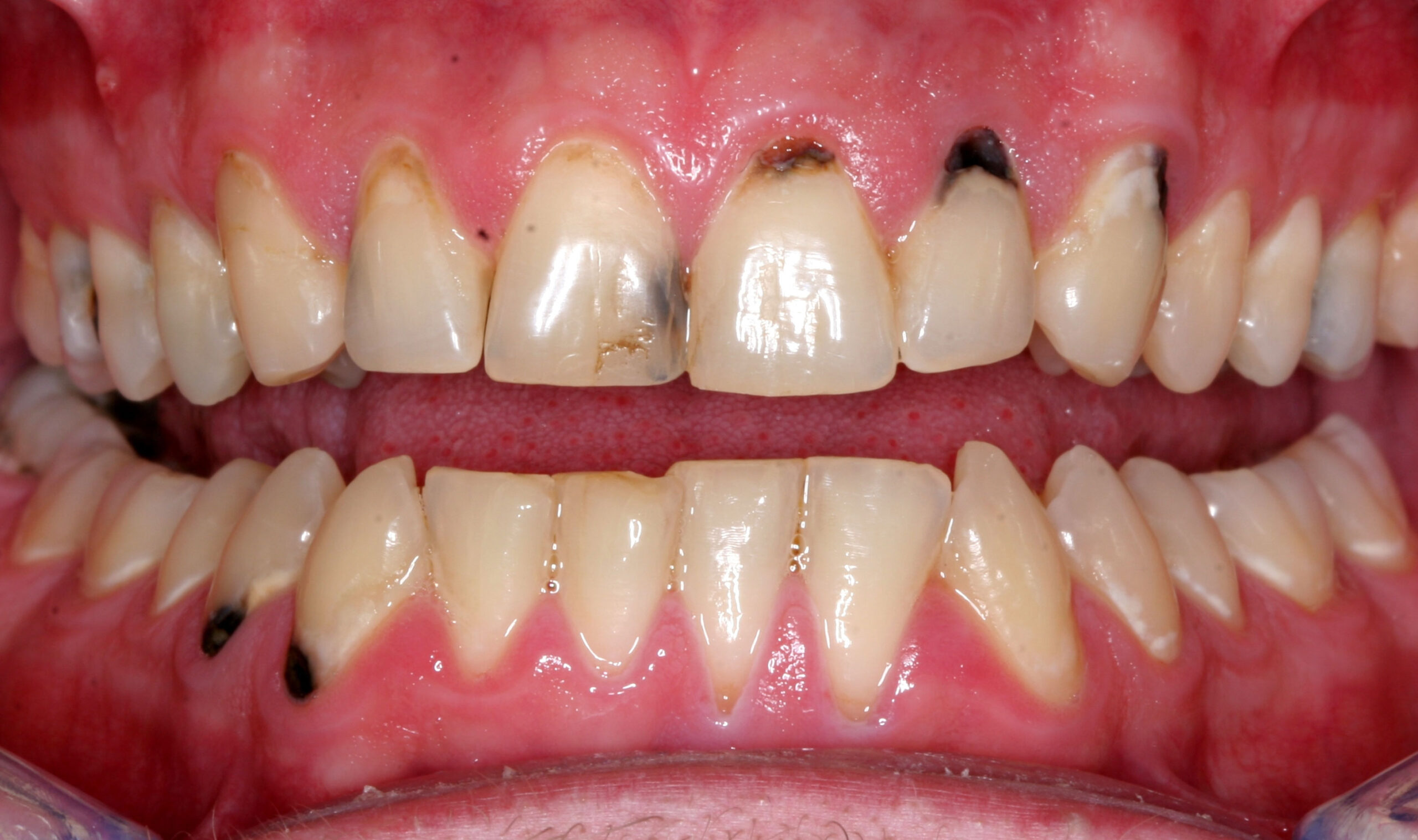
Không chỉ có răng hàm mà răng cửa cũng có nguy cơ sâu rất cao. Tuy không phải là răng đóng vai trò ăn nhai chính nhưng răng cửa có ảnh hưởng rất lớn đến khớp cắn cũng như tính thẩm mỹ. Do đó, khi phát hiện răng cửa bị sâu, bạn cần đến ngay trung tâm nha khoa để bác sĩ thăm khám và đưa ra một phương pháp điều trị tốt nhất.

Răng bị sâu chủ yếu là do vệ sinh không tốt, các mảng bám trên răng tích tụ và là môi trường cho các vi khuẩn hoạt động gây sâu răng. Để chữa răng sâu, các nha sĩ phải thực hiện qua hai bước cơ bản là loại bỏ vết răng sâu và sau đó tiến hành phục hình cho răng cửa. Đối với những trường hợp không thể bảo tồn răng thì các nha sĩ thường chỉ định nhổ để tránh tình trạng răng sâu ảnh hưởng sang các răng khác trên cung hàm.

rang-cua-bi-sau-cach-dieu-tri-nao-tot-nhat-1

Răng cửa bị sâu do vệ sinh không tốt

Loại bỏ vết răng sâu

Nạo vết răng sâu là một thao tác bắt buộc cho dù răng sâu dù ở vị trí nào. Đây là kỹ thuật nạo bỏ những mô răng đã bị phá hủy và mang mầm bệnh có nguy cơ làm lan sang các mô răng khỏe khác. Do đó, yêu cầu của kỹ thuật thực hiện là phải nạo vết sâu triệt để, không bỏ sót, đồng thời không xâm lấn vào mô răng lành. Sau khi loại bỏ các vết răng sâu, bác sĩ nha khoa sẽ tiến hành tái khoáng cho răng sâu và thường sẽ sử dụng dung dịch gồm các chất calcium, phosphate, fluorine để tái khoáng.

Phục hình cho răng cửa

Sau khi điều trị răng sâu, các nha sỹ luôn khuyên nên phục hình lại bằng một trong hai cách là bọc răng sâu hoặc hàn trám lại. Việc phục hình lại là cách để bảo vệ phần mô răng thật còn lại, đồng thời để bệnh sâu răng không tái phát trên mô răng thật, phục hồi khả năng ăn nhai cũng như tính thẩm mỹ cho cả hàm răng.

rang-cua-bi-sau-cach-dieu-tri-nao-tot-nhat-3

Răng sau khi nạo vết sâu sẽ được phục hình thẩm mỹ

– Trám răng thẩm mỹ: Phương pháp này được áp dụng đối với những răng chớm sâu hoặc vỡ, mẻ ở mức độ nhỏ. Răng sau khi nạo bỏ vết sâu sẽ tiến hành trám thẩm mỹ bằng vật liệu Composite. Tuy nhiên, trám răng thường duy trì trong thời gian không dài và bản thân chất liệu trám cũng dễ bị bong tróc khi ăn nhai mạnh hay kích thích nóng lạnh đột ngột.

– Bọc răng sứ: Đây là phương pháp đảm bảo nhất để răng sâu không phát triển trong thời gian dài. Răng sau khi được nạo vết sâu sẽ dùng chụp răng sứ bọc lại để bảo vệ răng khỏi tất cả các tác động của vi khuẩn, hóa chất…Mão răng sứ có độ bền cao, do đó bạn hoàn toàn có thể ăn nhai như răng thật mà vẫn đảm bảo tính thẩm mỹ cho răng. đảm bảo không gây nhức răng

rang-cua-bi-sau-cach-dieu-tri-nao-tot-nhat-2

Công nghệ CT 5 chiều giúp phục hình răng sứ hiệu quả

Công nghệ chụp răng sứ CT 5 chiều mà Nha khoa Hoàn Mỹ đang áp dụng cam hiện đang là công nghệ bọc răng sứ tiên tiến của Hoa Kỳ, được chuyển giao trực tiếp từ Bệnh viện Răng hàm mặt Forysth. Ưu điểm của công nghệ này là răng sau khi bọc không đục, không đen viền lợi, ăn nhai bình thường và duy trì trọn đời. So với các kỹ thuật răng sứ khác, công nghệ CT chiều có thể rút ngắn được thời gian tối đa chỉ trong 1 lần nằm trên ghế, có răng mới ngay trong ngày tính trên 1 đơn răng. Răng sứ CT 5 chiều giúp phục hình răng bền chắc, thẩm mỹ, giúp bạn có cảm giác ăn nhai như răng thật. Phương pháp này đảm bảo hơn, khắc phục được những nhược điểm mà composite gặp phải để phục hình răng thẩm mỹ, bền và dài lâu hơn.

Răng cửa bị sâu sau khi được điều trị, bạn cần duy trì việc chăm sóc răng miệng kỹ lưỡng, đúng cách với 2 lần chải răng mỗi ngày. Nên kết hợp dùng chỉ nha khoa sẽ thuận tiện hơn cho việc làm sạch kẽ răng. Dùng nước súc miệng có thành phần fluorine để củng cố men răng và bệnh răng miệng.

Để được tư vấn cụ thể hơn về cách điều trị răng cửa bị sâu cũng như mức chi phí cụ thể, bạn có thể liên hệ với Nha khoa Hoàn Mỹ theo số điện thoại hotline 0943 776699 hoặc đến trực tiếp phòng khám tại số 39 Quang Trung, Hà Nội. Các bác sĩ sẽ thăm khám và tư vấn miễn phí cho bạn.

Comments are closed.

Hãy để lại bình luận của bạn bên dưới!

BÀI VIẾT LIÊN QUAN
Có nên tái khoáng cho răng chớm sâu hay không?

Có nên tái khoáng cho răng chớm sâu hay không?

Câu hỏi: Thưa bác sỹ Hoàn Mỹ. Gần đây khi đánh răng em có soi gương và thấy hai răng cửa có dấu hiệu bị sâu khi phần giữa hai răng có vết đen và sắp hình thành lỗ sâu. Em nghe nói có phương pháp tái khoáng cho răng chớm sâu nhưng không biết ...

Răng cửa bị sâu có trám được không?

Răng cửa bị sâu có trám được không?

Câu hỏi: Chào bác sĩ Hoàn Mỹ. Mấy ngày gần đây răng cửa của em có dấu hiệu sâu, trên răng xuất hiện vết đốm đen, khi em lấy tay ấn váo thấy rất đau. Đôi khi em ăn uống cũng khiến răng bị đau. Em được biết răng hàm thường chọn giải pháp là ...

Có nên nhổ răng cửa bị sâu hay không?

Có nên nhổ răng cửa bị sâu hay không?

Câu hỏi: Chào bác sĩ Hoàn Mỹ. Hai chiếc răng cửa của em ngày càng trở nên đau nhức, khi soi gương em thấy có những lỗ nhỏ màu đen, ấn vào rất đau. Nhiều khi đau thành từng cơn làm em không thể ăn nhai được hoặc nếu có ăn cũng phải nhẹ nhàng ...