Chào bạn Minh Dũng!
Chúng tôi rất cảm ơn vì bạn đã tin tưởng vào nha khoa Hoàn Mỹ và sẽ trả lời bạn thật đầy đủ về vấn đề “Viêm chân răng uống thuốc gì“:
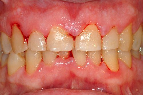
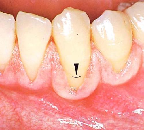
Bệnh viêm chân răng, viêm quanh cuống răng ban đầu chỉ có những dấu hiệu nhẹ như nướu sưng đỏ, chải răng thì chảy máu giống như bạn mô tả. Tuy nhiên, đây là bệnh lý răng phổ biến nếu không điều trị dứt điểm thì viêm cấp tính có thể trở thành mãn tính. Lâu ngày, bệnh dẫn đến những biến chứng nặng nề hơn, phá hủy liên kết giữa các dây chằng với xương ổ răng, làm cho răng lung lay, thậm chí là rụng răng hoặc áp xe chóp răng rất đau đớn.
Khi viêm chân răng mới chớm, ngoài việc tiếp tục giữ gìn vệ sinh răng miệng, bạn cần bổ sung một số loại vitamin để tăng sức đề kháng cũng như uống thuốc chống viêm.
– Vitamin C: Trong nha khoa, vitamin C được dùng để điều trị bệnh scorbut gây chảy máu chân răng, chống nhiễm trùng. Một phần nguyên do khiến chân răng chảy máu cũng có thể từ việc thiếu hụt vitamin C, làm cho tủy và nướu răng xốp hơn, dễ bị viêm loét. Vì vậy, bổ sung vitamin C sẽ tăng cường hệ miễn nhiễm, chống nhiễm khuẩn, mau lành mô nướu bị tổn thương.
– Vitamin E: Vitamin E có khả năng ức chế prostaglandin, giúp giảm tình trạng viêm nhiễm. Đồng thời các nhà nghiên cứu cũng cho thấy sự tương quan giữa nồng độ vitamin E trong máu của người mắc phải viêm chân răng là ít hơn so với các đối tượng bình thường.

Bổ sung vitamin C khi bị viêm chân răng
Những loại thuốc kháng sinh thường sử dụng khi viêm chân răng là biện pháp tức thời để xoa dịu cơn đau sưng từ nướu răng. Trong giai đoạn đầu tiên của quá trình điều trị viêm chân răng, bác sỹ cũng thường chỉ định những loại kháng sinh này cho bệnh nhân.
– Lysozyme: Hiệu quả diệt khuẩn và chống viêm trong các bệnh viêm nha chu do vi khuẩn gây ra như viêm chân răng.
– Carbazochrome: Phòng ngừa và giảm tính mỏng manh của thành mạch, có lợi ích gia tăng sự đàn hồi, ngăn chặn hiện tượng xuất hiện chân răng.
– Tetracyclin, Pennicilline, Docyxyline, Amoxicyline, Metronidazol..: Các loại kháng sinh uống hoặc tiêm để chống viêm, chống nhiễm trùng, giảm sưng đau cơ bản.
>>> Xem thêm: Viêm chân răng ở phụ nữ mang thai có nguy hiểm không?
Sử dụng thuốc và điều trị theo chỉ định
Mặc dù hiện tượng viêm có thể giảm nhẹ sau khi dùng thuốc nhưng nguyên nhân gây bệnh chưa được điều trị triệt để thì viêm chân răng có thể tái phát bất cứ khi nào. Để tránh bệnh trở thành mãn tính, gây ra nhiều biến chứng nguy hiểm, bạn nên trực tiếp đến trung tâm nha khoa càng sớm càng tốt.
Bạn cũng không nên tự ý sử dụng thuốc nếu không có chỉ định liều lượng của bác sỹ cùng các hướng dẫn chống chỉ định khác liên quan đến tình trạng sức khỏe, các biểu hiện dị ứng thuốc…
Tại Nha khoa Hoàn Mỹ, bạn có thể liên hệ hotline hoặc điền đầy đủ thông tin vào mẫu đăng ký bên dưới để xếp lịch thăm khám – tư vấn miễn phí để đề phòng viêm nướu chân răng.
Viêm nướu chân răng không phải bệnh lý nguy hiểm nhưng điều trị tùy theo từng trường hợp mà là cả một quá trình kết hợp nhiều biện pháp mới chữa dứt điểm được bệnh: điều trị tại chỗ với điều trị toàn thân, điều trị khởi đầu với điều trị duy trì, điều trị bảo tồn với phẫu thuật,…
Bác sỹ tư vấn 24/7: 0943 776699
Nhakhoahoanmy.net
Viêm chân răng thực chất cần được gọi đúng là viêm quanh chóp. Đây là bệnh lý của toàn bộ tổ chức liên kết sợi nằm trong khoảng cách chung quanh răng, giữa mặt ngoài của xê măng chân răng và mặt trong của xương ổ răng. Bệnh phát triển cấp tính và có thể ...
Câu hỏi: Thưa bác sỹ Hoàn Mỹ. Bác sỹ tư vấn giúp chau là đau nhức do viêm lợi trùm thì phải làm thế nào cho đỡ đau ạ. Hàm dưới cháu đang mọc răng khôn nhưng cháu soi gương thì nó mới nhú lên một chút nhưng lại bị sưng rất to. Trước đó ...
Câu hỏi: Thưa bác sỹ! Em đang mang thai bé được 3 tháng nhưng gần đây mỗi khi đánh răng em thấy chảy máu chân răng rất nhiều, chỗ nướu bị sưng đỏ và đau, có khi thấy có mủ khi ấn vào nữa ạ. Em lo quá không biết mình có phải bị viêm ...
Câu hỏi: Thưa bác sỹ Hoàn Mỹ. Gần đây chỗ nướu răng của em có hiện tượng sưng đỏ kiểu viêm nướu, khi đánh răng thì thấy chảy máu khá nhiều. Em khá lo lắng không biết nướu của mình có bị viêm hay không? Và liệu có cách điều trị viêm nướu hiệu quả ...
Câu hỏi: Thưa bác sỹ Hoàn Mỹ. Em đang mang thai cháu ở tháng thứ 3 nhưng gần đây em lại bị viêm nướu. Em thường xuyên bị chảy máu chân răng khi đánh răng và chỗ nưới bị sưng đỏ lên rất khó chịu. Không biết viêm nướu răng ở phụ nữ mang thai ...
Câu hỏi: Thưa bác sỹ Hoàn Mỹ. Cháu đang gặp một vấn đề răng miệng ạ. Trước đây cháu có bị viêm nướu nhưng cũng không quan tâm lắm và thi thoảng có chảy máu một chút. Nhưng gần đây chỗ nướu của cháu có dấu hiệu bị tụt làm lộ chân răng ạ và ...
Comments are closed.
Hãy để lại bình luận của bạn bên dưới!
Nhập thông tin của bạn
×