Tư vấn

Nên nhổ răng khôn khi nào là phù hợp nhất?

Nên nhổ răng khôn khi nào là phù hợp nhất?

Câu hỏi: Thưa bác sỹ Hoàn Mỹ. Em đang có hai chiếc răng khôn mọc trong cùng của hàm dưới rất đau ạ. Em muốn nhổ nhưng nghe nói nếu…

Đau nhức sau khi nhổ răng khôn có đáng lo ngại không?

Đau nhức sau khi nhổ răng khôn có đáng lo ngại không?

Câu hỏi: Thưa bác sỹ Hoàn Mỹ. Em có hai chiếc răng khôn mọc ngầm nên khi đi khám bác sỹ có chỉ định nhổ. Nhưng khi nhổ về sau…

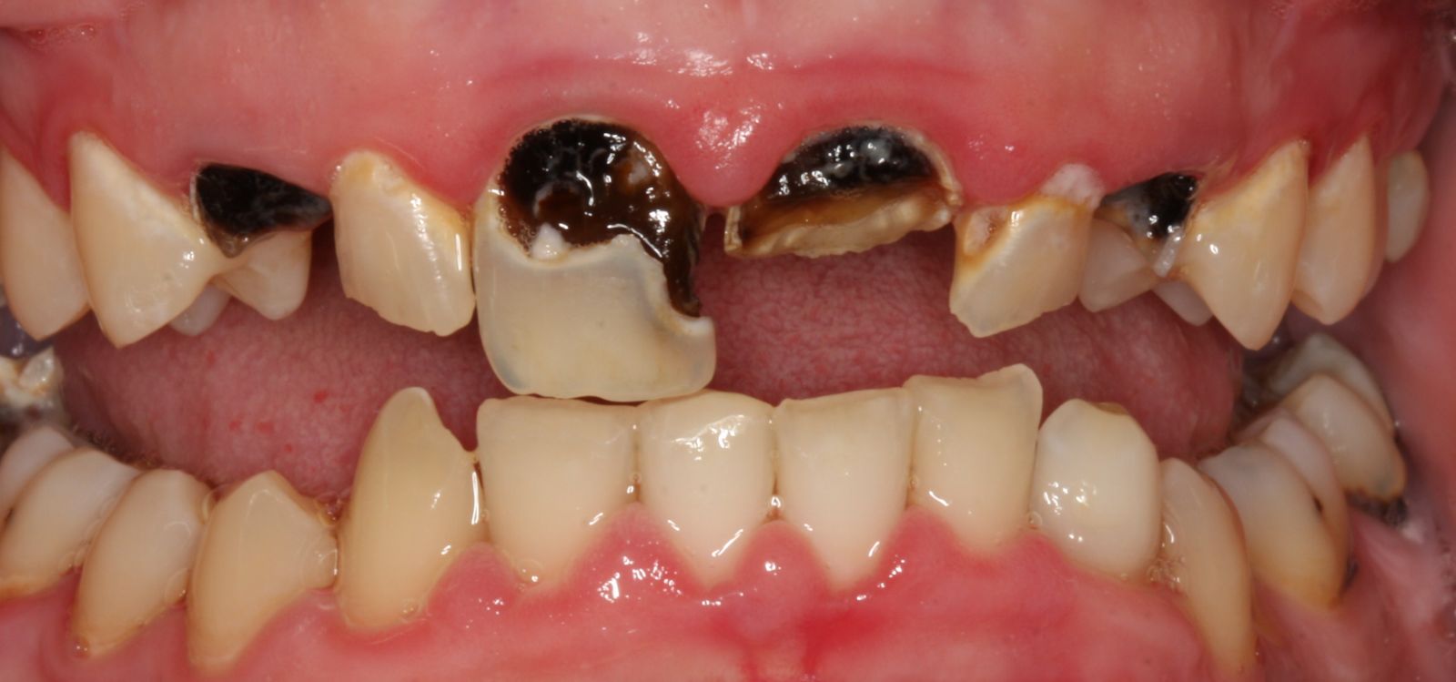
Giá chữa răng sâu tại Nha khoa Hoàn Mỹ là bao nhiêu?

Giá chữa răng sâu tại Nha khoa Hoàn Mỹ là bao nhiêu?

Câu hỏi: Thưa bác sỹ Hoàn Mỹ. Em đang gặp một vấn đề với răng sâu ạ. Thực ra thì hai chiếc răng hàm dưới của em sâu đã lâu…

Bọc sứ răng sâu có phải lấy tủy không?

Bọc sứ răng sâu có phải lấy tủy không?

Câu hỏi: Thưa bác sỹ Hoàn Mỹ. Em có một băn khoăn về bọc răng sứ ạ. Hai chiếc răng hàm dưới của em đang bị sâu khá nặng nên…

Giá trám răng sâu tại Nha khoa Hoàn Mỹ là bao nhiêu?

Giá trám răng sâu tại Nha khoa Hoàn Mỹ là bao nhiêu?

Câu hỏi: Thưa bác sỹ. Bác sỹ có thể tư vấn giúp em mức Giá trám răng thẩm mỹ cho sâu tại Nha khoa Hoàn Mỹ là bao nhiêu được không…

Lấy cao răng có làm trắng răng hay không?

Lấy cao răng có làm trắng răng hay không?

Câu hỏi: Thưa bác sỹ. Em đang có ý định đi lấy cao răng vì em bị chảy máu chân răng khá nhiều. Bạn bè có nói với em là…

Viêm lợi và chảy máu chân răng có nguy hiểm không?

Viêm lợi và chảy máu chân răng có nguy hiểm không?

Câu hỏi: Thưa bác sỹ. Không hiểu vì sao khi em đánh răng hàng ngày thì chỗ chân răng lại bị chảy máu nhiều, bình thường thì thoảng em cũng…