Tư vấn

Nhổ răng sâu bao nhiêu tiền tại Nha khoa Hoàn Mỹ?

Nhổ răng sâu bao nhiêu tiền tại Nha khoa Hoàn Mỹ?

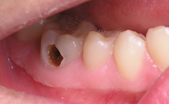
Câu hỏi: Chào bác sĩ Hoàn Mỹ. Em bị mấy chiếc răng sâu hành hạ đã lâu. Một bên mặt của em bây giờ cũng hơi sưng và khi soi…

Khi nào nên nhổ răng số 8?

Khi nào nên nhổ răng số 8?

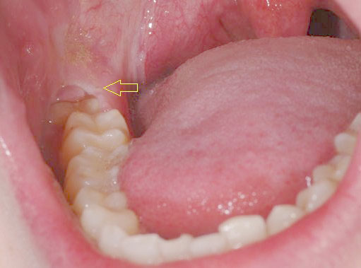
Câu hỏi: Chào bác sĩ Hoàn Mỹ. Mấy ngày gần đây, chỗ phía răng hàm của em đau nhức dữ dội, khi em soi vào thì thấy có hai chiếc…

Nhổ răng khôn bị sâu hết bao nhiêu tiền?

Nhổ răng khôn bị sâu hết bao nhiêu tiền?

Câu hỏi: Chào bác sĩ Hoàn Mỹ. Em mọc được hai chiếc răng khôn ở hàm dưới. Khi mọc thì không đau nhưng không hiểu sao 1 tuần nay chỗ…

Trám răng sâu giá bao nhiêu là hợp lý?

Trám răng sâu giá bao nhiêu là hợp lý?

Câu hỏi: Chào bác sĩ. Răng em bị sâu cũng đã lâu, chỗ răng đau có nhiều vết đen to và lấy tay ấn thì rất đau. Em đã cố…

Có nên nhổ răng khôn khi mang thai hay không?

Có nên nhổ răng khôn khi mang thai hay không?

Câu hỏi: Chào bác sĩ Hoàn Mỹ. Em đang mang thai ở tháng tứ 4 nhưng mấy ngày gần đây, răng hàm em đau nhức kinh khủng, khi soi gương…

Nhổ răng khôn mọc lệch 90 độ có đảm bảo an toàn hay không?

Nhổ răng khôn mọc lệch 90 độ có đảm bảo an toàn hay không?

Câu hỏi: Chào bác sĩ. Hàm răng của em hiện đã mọc 2 răng khôn hàm trên, khi mọc hai răng đó em không thấy đau, chỉ hơi sốt nhẹ…

Chi phí nhổ răng khôn mọc lệch là bao nhiêu?

Chi phí nhổ răng khôn mọc lệch là bao nhiêu?

Câu hỏi: Chào bác sĩ. Hàm răng của em đã mọc được một cái răng khôn, nhưng một tuần nay lại mọc thêm 2 cái ở hàm dưới nữa khiến…