Tư vấn

Bệnh hôi miệng có nguy hiểm không?

Bệnh hôi miệng có nguy hiểm không?

Câu hỏi: Thưa bác sỹ Hoàn Mỹ. Không hiểu sao dạo này miệng em thường xuyên có mùi hôi, đôi khi đánh răng xong vẫn không hết. Em khá lo…

Những tác hại của cao răng có thể bạn chưa biết

Những tác hại của cao răng có thể bạn chưa biết

Câu hỏi: Thưa bác sỹ Hoàn Mỹ. Em có nghe nói cao răng nếu không được lấy có thể ảnh hưởng nhiều đến răng miệng nhưng chưa rõ tác hại…

Cách điều trị hôi miệng dứt điểm?

Cách điều trị hôi miệng dứt điểm?

Câu hỏi: Thưa bác sỹ Hoàn Mỹ. Dạo gần đây em mắc phải chứng hôi miệng. Mỗi khi thở ra có mùi hôi khá khó chịu mặc dù em đã…

Chăm sóc răng miệng khi mang thai cần lưu ý gì?

Chăm sóc răng miệng khi mang thai cần lưu ý gì?

Câu hỏi: Thưa bác sỹ Hoàn Mỹ. Em đang mang thai cháu được 2 tháng. Em khá lo lắng cho sức khỏe răng miệng vì thi thoảng cũng bị chảy…

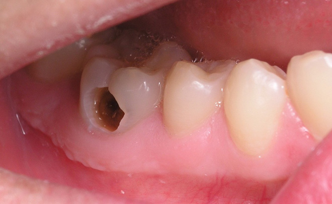
Phòng ngừa sâu răng trog ăn uống và vệ sinh răng miệng

Phòng ngừa sâu răng trog ăn uống và vệ sinh răng miệng

Câu hỏi: Thưa bác sỹ Hoàn Mỹ. Em có mấy chiếc răng hàm đang bị chớm sâu, thấy có những vết hơi đen đen xuất hiện nhưng chưa thấy đau.…

Nên nhổ hay bảo tồn răng bị sâu nặng?

Nên nhổ hay bảo tồn răng bị sâu nặng?

Câu hỏi: Thưa bác sỹ Hoàn Mỹ. Em có một chiếc răng hàm bị sâu khá nặng và đã bị vỡ khá nhiều khiến em đau nhức ngày đêm, không…

Viêm nướu ở phụ nữ mang thai có nguy hiểm không?

Viêm nướu ở phụ nữ mang thai có nguy hiểm không?

Câu hỏi: Thưa bác sỹ Hoàn Mỹ. Em đang mang thai cháu ở tháng thứ 3 nhưng gần đây em lại bị viêm nướu. Em thường xuyên bị chảy máu…