Tư vấn

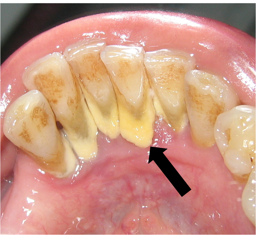
Cạo vôi răng có tác dụng gì đối với sức khỏe răng miệng?

Cạo vôi răng có tác dụng gì đối với sức khỏe răng miệng?

Câu hỏi: Thưa bác sỹ. Em nghe thấy mọi người nói nhiều đến cạo vôi răng và bạn bè em cũng khuyên em nên đi lấy vôi răng. Thực sự…

Cạo vôi răng giá bao nhiêu tiền là hợp lý?

Cạo vôi răng giá bao nhiêu tiền là hợp lý?

Câu hỏi: Chào bác sỹ Hoàn Mỹ. Em đang có nhu cầu đi cạo vôi răng vì em nghe nói cao răng quá nhiều có thể dẫn tới các bệnh…

Khi cạo vôi răng có gây đau nhức răng miệng không?

Khi cạo vôi răng có gây đau nhức răng miệng không?

Câu hỏi: Chào bác sỹ Hoàn Mỹ. Răng của em cũng đang ngả màu ố vàng và phần cổ răng có rất nhiều cao răng. Em nghe nói vôi răng…

Lấy cao răng hết bao nhiêu tiền tại nha khoa Hoàn Mỹ?

Lấy cao răng hết bao nhiêu tiền tại nha khoa Hoàn Mỹ?

Câu hỏi: Chào bác sĩ Hoàn Mỹ. Hàm răng của em khá đều đặn và trắng bóng nhưng gần đây em thấy ở chỗ chân răng có rất nhiều mảng…

Lấy cao răng có đau không khi sử dụng máy siêu âm?

Lấy cao răng có đau không khi sử dụng máy siêu âm?

Câu hỏi: Thưa bác sỹ. Em từ nhỏ chưa đi lấy cao răng bao giờ nhưng em nghe nói là nếu cao răng nhiều quá thì sẽ dễ bị các…

Mọc răng khôn không nên ăn gì để đỡ đau?

Mọc răng khôn không nên ăn gì để đỡ đau?

Câu hỏi: Thưa bác sỹ. Mấy hôm nay chỗ răng hàm dưới của em rất đau nhức và hai bên má có dấu hiệu sưng to khiến em không thể…

Cạo vôi răng thường xuyên quá có tốt hay không?

Cạo vôi răng thường xuyên quá có tốt hay không?

Câu hỏi: Chào bác sĩ Hoàn Mỹ. Em đã cạo vôi răng khoảng 2 tháng trước nhưng khi soi gương em vẫn thấy rất nhiều mảng bám ở cổ răng…