Tư vấn

Điều trị nội nha lấy tủy hết bao nhiêu tiền tại Hoàn Mỹ?

Điều trị nội nha lấy tủy hết bao nhiêu tiền tại Hoàn Mỹ?

Câu hỏi: Thưa bác sỹ Hoàn Mỹ. Em có một vấn đề răng miệng mong bác sỹ tư vấn ạ. Mấy tháng trước em gặp phải tình trạng đau nhức…

Răng sữa bị sâu có nên nhổ hay không?

Răng sữa bị sâu có nên nhổ hay không?

Câu hỏi: Thưa bác sỹ. Em có một băn khoăn về sâu răng mong bác sỹ tư vấn ạ. Bé nhà em năm nay 4 tuổi nhưng có hai chiếc…

Có nên nhổ răng khi đang mang thai hay không?

Có nên nhổ răng khi đang mang thai hay không?

Câu hỏi: Thưa bác sỹ Hoàn Mỹ. Em trước kia có hai chiếc răng hàm bị sâu nhưng không nặng lắm nên em chủ quan không đi hàn răng. Bây…

Áp xe răng nguy hiểm như thế nào?

Áp xe răng nguy hiểm như thế nào?

Câu hỏi: Thưa bác sỹ Hoàn Mỹ. Em có bị viêm nướu nhưng do chủ quan nên không điều trị. Gần đây, em thấy chỗ răng hàm của mình đau…

Ê buốt răng sau khi sinh chữa trị như thế nào?

Ê buốt răng sau khi sinh chữa trị như thế nào?

Câu hỏi: Thưa bác sỹ Hoàn Mỹ. Em sinh cháu đã được 2 tháng nhưng gần đây em thấy ê buốt răng rất nhiều nhất là khi ăn vật cứng…

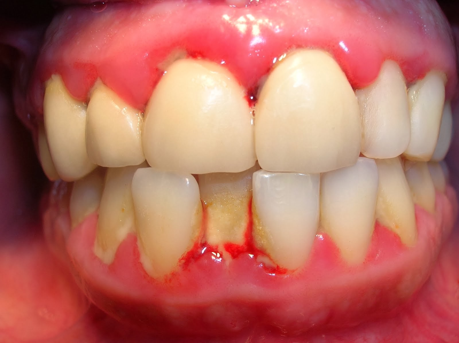
Viêm chân răng ở phụ nữ mang thai có nguy hiểm không?

Viêm chân răng ở phụ nữ mang thai có nguy hiểm không?

Câu hỏi: Thưa bác sỹ! Em đang mang thai bé được 3 tháng nhưng gần đây mỗi khi đánh răng em thấy chảy máu chân răng rất nhiều, chỗ nướu…

Có nên nhổ răng khểnh bị sâu hay không?

Có nên nhổ răng khểnh bị sâu hay không?

Câu hỏi: Thưa bác sỹ Hoàn Mỹ. Em có một chút băn khoăn về nhổ răng ạ. Chiếc răng khểnh của em hiện giờ đang bị sâu khá nặng và…